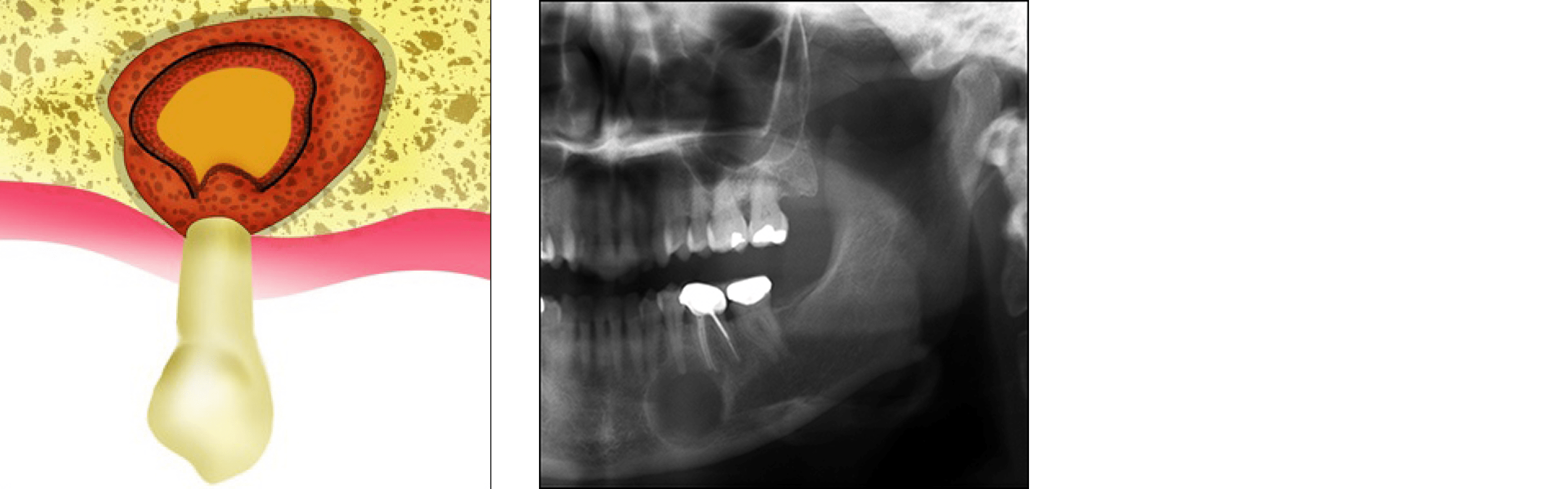
Wisdom Teeth

By the age of 18, the average adult has 32 teeth; 16 teeth on the top and 16 teeth on the bottom. The back teeth (molar teeth) are used to grind food up into a consistency suitable for swallowing. The average mouth is made to hold only 28 teeth. It can be painful when 32 teeth try to fit in a mouth that holds only 28 teeth. These last teeth in each arch are your third molars, also known as “wisdom teeth”.

Why should I have my wisdom teeth removed?

Wisdom teeth are the last teeth to erupt within the mouth. When they align properly and gum tissue is healthy, wisdom teeth do not have to be removed. Unfortunately, this does not generally happen. The extraction of wisdom teeth is necessary when they are prevented from properly erupting within the mouth. They may grow sideways, partially emerge from the gum, and even remain trapped beneath the gum and bone. Impacted teeth can take many positions in the bone as they attempt to find a pathway that will allow them to successfully erupt. These poorly positioned impacted teeth can cause many problems. When they are partially erupted, the opening around the teeth allows bacteria to grow and will eventually cause an infection. The result: swelling, stiffness, pain, and illness. The pressure from the erupting wisdom teeth may move other teeth and disrupt the orthodontic or natural alignment of teeth. The most serious problem occurs when tumors or cysts form around the impacted wisdom teeth, resulting in the destruction of the jawbone and healthy teeth. Removal of the offending impacted teeth usually resolves these problems. Early removal is recommended (before the age of 20) to avoid such future problems and to decrease the surgical risk involved with the procedure. As we age the roots of these teeth enlarge and encase a nerve passing below them (inferior alveolar nerve) and the risks of a jaw fracture and nerve damage increase. With an oral examination and x–rays of the mouth, the oral and maxillofacial surgeon can evaluate the position of the wisdom teeth and predict if there are present or may be future problems. Studies have shown that early evaluation and treatment result in a superior outcome for the patient.

How is the surgery performed?

The surgery can be performed under local anesthesia, laughing gas (nitrous oxide/oxygen analgesia), intravenous sedation or general anesthesia. These options, as well as the surgical risks will be discussed with you before the procedure is performed. Once the teeth are removed, the gum is sutured. To help control bleeding, bite down on the gauze placed in your mouth. You will rest under our supervision in the office until you are ready to be taken home. Upon discharge, your postoperative kit will include postoperative instructions, a prescription for pain medication, antibiotics, and a follow up appointment in one week or two weeks. Most patients can return to normal activities 3-5 days after the surgery.

Set an appointment

Dental Implants

By the age of 18, the average adult has 32 teeth; 16 teeth on the top and 16 teeth on the bottom. The back teeth (molar teeth) are used to grind food up into a consistency suitable for swallowing. The average mouth is made to hold only 28 teeth. It can be painful when 32 teeth try to fit in a mouth that holds only 28 teeth. These last teeth in each arch are your third molars, also known as “wisdom teeth”.

Dental Implant

What are the Dental Implants?

Dental implants are tiny titanium post or screws that are surgically placed in the gum where the patient is missing his/her tooth/teeth. The implant acts as a tooth root substitute. If there is enough bone around the area, the bone bonds with the titanium (osseointegration), and creates a strong foundation for the artificial tooth. Some patients may not have enough bone to hold the implants, so the option of having a small bone graft is readily available in our office. The titanium screw serves as an anchor to hold the replacement tooth in place. Implants help preserve the facial structure of the patients and they also prevent the bone from deteriorating which may occur when teeth are missing from the mouth.

Set an appointment

Apicoectomy (Periapical Surgery)

Generally, a root canal is all that is need to salvage a tooth from being extracted. Occasionally there may be a point in which the root canal treatment will not be sufficient enough to heal the tooth and your primary dentist may recommend apical surgery or root-end surgery.

Apicoectomy (Periapical Surgery)

What is an apicoectomy?

An apicoectomy, root-end resection or periapical surgery, is the removal of the root tip and the surrounding infected tissue of an abscessed tooth. This procedure may be necessary when inflammation and infection persists in the area around the root tip after root canal therapy.

When to call a professional?

If you are having any pain or swelling from a tooth that has had root-canal treatment, contact your dentist. Sometimes after a root canal a pimple develops near the tooth. This pimple will often go away and then come back, this is called a fistula. You may notice pus draining from the fistula. The fistula is a sign that there is an infection and your body is draining it out through the pimple. There is usually no pain in this situation, but you may notice a bad taste or odor in your mouth.

How is the surgery done?

The oral surgeon will make a small incision (cut) in your gum and lift the gum away from the tooth and bone. The infected tissue will be removed along with the last few millimeters of the root tip.


To complete the apicoectomy, the surgeon will clean and seal the end of the tooth's canal. The cleaning usually is done under a special microscope using ultrasonic instruments. The light and magnification allow the surgeon to see the area clearly. This increases the chance that the procedure will succeed. Then an X-ray of the area is taken before stitching the tissue back in place.


Most apicoectomies take 45 to 60 minutes. The length will depend on the location of the tooth and the complexity of the root structure. Procedures on front teeth are generally the shortest. Those on lower molars generally take the longest.

After the procedure

Following the apicoectomy, there may be a little discomfort and a bit of slight swelling as the incision heals. To alleviate the slight pain and discomfort, proper medication will be given after the procedure.

Set an appointment

Bone Grafting

Over a period of time, the jawbone resorbs as a result of missing teeth due to extractions, gum disease or injuries. This often leaves a condition in which there is poor quality and quantity of bone suitable for placement of dental implants, which are the best alternative to replace missing teeth. In these situations, most patients are not candidates for placement of dental implants.

Today, we have the ability to grow bone where needed. This not only gives us the opportunity to place implants of proper length and width, it also gives us a chance to restore functionality and esthetic appearance.

bone-grafting

bone-grafting

Minor Bone Grafting

The bone is either obtained from a tissue bank or your own bone is taken from the jaw. In addition, special membranes may be utilized that dissolve under the gum and protect the bone graft and encourage bone regeneration. This is called guided bone regeneration

Major Bone Grafting

Large grafts are performed to repair defects of the jaws as a result of traumatic injuries, tumor surgery, or congenital defects. These are repaired using the patient’s own bone harvested from different sites like the cranium, hip (iliac crest), and lateral knee (tibia). Stem cells, growth factors, bone morphogenetic protein and banked bone can be used also. These procedures are routinely performed in an operating room and require a hospital stay.

Sinus Lift Procedure

The maxillary sinuses are behind your cheeks and on top of the upper teeth. Sinuses are like empty rooms that have nothing in them. Sometimes there is thin wall of bone separating the maxillary sinus and the mouth. When the sinus wall is very thin, it is impossible to place dental implants in this bone. During the procedure the surgeon enters the sinus from where the upper teeth used to be. The sinus membrane is then lifted upward and bone is inserted into the floor of the sinus. The functions of the sinus remain intact after this procedure. After several months of healing (3-6), the bone becomes part of the patient’s jaw and dental implants can be inserted and stabilized in this new sinus bone.

Ridge Expansion

In this procedure, the bony ridge of the jaw is literally expanded by mechanical means. Bone graft material can be placed and matured for a few months before placing the implant.

Synthetic materials can also be used to stimulate bone formation but the most advanced techniques include the use of growth factors from patients own blood (platelet rich plasma), bone forming proteins (bone morphogenetic protein) and stem cells.

Set an appointment

Understanding BOTOX

BOTOX® Cosmetic Injection for facial wrinkles is one of the most effective treatments in the field of cosmetic surgery. Very few treatments produce such impressive results with no healing time required. It is used to treat "frown lines" which are sometimes called "scowl lines" or "worry lines", these are the lines seen between the eyes and on the bridge of the nose. In addition, Botox injections are used for "crow's feet" wrinkles and forehead wrinkles, for the bands that develop underneath the chin and extend to the neck, to treat bruxism (tooth grinding) and some facial pain syndromes. BOTOX® relaxes the muscles and restricts their movement, which prevents them from creating creases, which allows for skin to even out and become more youthful and smooth.

botox

Is BOTOX® right for me?

BOTOX® can be used in most patients between 18-65 who desire to improve their facial appearance. It is not recommended for use in children younger than 18 years of age.

How is the treatment done?

The injections are performed in the office with an ultra-fine needle directly into the muscles that cause those moderate to severe wrinkles. The number of injections required varies with the degree of wrinkling.

How long does BOTOX® last?

The effects of BOTOX® begin between 24-72 hours and the effect lasts an average of 4 months. There is some evidence that after several repeated injections, the effects last longer. No anesthesia is required. However, your doctor may choose to numb the area with a cold pack or anesthetic cream. Approximately 10-20 minutes for the entire treatment is required and the discomfort is usually minimal and brief. No downtime is needed after the treatment.

Post-Treatment Instruction

  • DO NOT massage areas treated for 2-3 hours.

  • DO NOT bend over (e.g., to tie your shoes or pick up something from the floor) for the next 2-3 hours .
    LIMIT heavy physical activity, and lying down or sleeping for 2-3 hours.

  • DO contract treated muscles for 2-3 hours immediately after the injection. This promotes the uptake of Botox by the receptor sites at the neuromuscular junction.


Set an appointment

Chin Surgery (Genioplasty)

Chin surgery can be one of the most common cosmetic facial procedures. Many individuals have very recessive profiles due to the fact that their lower face and jaw have not developed properly. In addition to complimenting the profile, chin surgery can also tighten and enhance the sagging or fatty tissues in the neck.

While many patients need more chin in the horizontal direction (back to front) some patients need an increase in the vertical dimension of their chin (bottom to top). Patients with a shortened lower facial height lack the proper esthetics for a natural chin and lip support. Their lower lip looks folded over and unnatural.

Chin Surgery

Chin Surgery

What types of chin surgery can be performed?

Implants may be used in minor cases to slightly increase the lower facial height, but in more severe cases a lengthening genioplasty (sliding genioplasty) is the proper procedure. The sliding genioplasty advances the patient's actual chin by moving the lower portion of the jaw. This procedure not only advances the chin, but also makes it longer. The chin is secured with a micro bone plate. A gap is left from the lengthening and this is sometimes filled with a graft material. The surgery is done from an incision placed inside the mouth for a completely hidden scar. Some patients have crooked chins that are not lined up with the normal facial structures. The chin may be off to the side giving the face an asymmetric appearance. This can be corrected or improved by moving the chin tip to the left or right.

How can a chin implant be placed?

The simplest approach to chin augmentation is the placement of a chin implant. This minor operation is performed in the office with intravenous sedation. The procedure takes about 30-60 minutes and requires a 5-10 day recovery. New technology in biomaterials has shown silicone implants to be very successful and extremely well tolerated by the body. The new chin implants are natural feeling and follow the contours of the normal jaw line. These new type of implants are known as anatomic implants which means they come in many shapes and sizes to personalize the aesthetics of each patient. Contemporary chin implants come in a vast array of sizes and shapes to allow the surgeon and the patient many options in facial enhancement. The incisions can be place inside the mouth or through the skin under the jaw using a small incision. When chin implants are properly inserted and fixation is used, the result is permanent. If for some reason the patient wants the implant to be removed or replaced, this can be done in 20 minutes with local anesthesia. Not many cosmetic procedures are both permanent but reversible.

What are the complications of chin surgery?

Chin surgery is a relatively simple procedure and complications are minimal. The most common one is temporary numbness of the lower lip as a result of the surgical manipulation around the mental nerves which provide the sensation to the lower lip and skin of the chin. Infection, implant rejection and non-cosmetic appearance can also occur.

Set an appointment

Corrective Jaw Surgery (Orthognatic)

Orthognathic surgery is needed when jaws do not meet correctly and/or teeth do not seem to fit with jaws. Teeth are straightened with orthodontics and corrective jaw surgery repositions misaligned jaws. This not only improves facial appearance, but also ensures that teeth meet correctly and function properly. The causes of a misaligned jaw go from birth defects, trauma or abnormal growth.

Corrective Jaw Surgery

Corrective Jaw Surgery

Who needs orthognathic surgery?

The most common conditions associated with misaligned jaws are: mandibular prognathism (enlarged mandible), mandibular retrognathism/micrognathism (small mandible), open bite (separation between the upper and lower teeth) and vertical maxillary excess (excessive anterior teeth show and gummy smile). Orthodontics alone can correct bite problems when only the teeth are involved. Orthognathic surgery may be required for the jaws when repositioning is necessary.

What are the signs and symptoms of a misaligned jaw?

While a greatly protruding overbite or underbite is easily discernible, a misaligned jaw is much more subtle. Inadequate facial appearance is the main reason of patients seeking surgical treatment. You should also get an evaluation by an oral & maxillofacial surgeon if you suffer from any of the following symptoms: speech problems; chewing, swallowing, and/or biting that are painful or difficult, jaw pain (could be the result of temporomandibular joint disorder) and/or difficulty breathing (snoring).

What are treatment options?

The first step in repositioning a misaligned jaw is a thorough examination through x-rays, photos and models of your jaws and teeth. This type of procedure typically has to be coordinated together between your oral & maxillofacial surgeon and your orthodontist. The latest will then align your teeth with braces and the surgeon will operate in the maxilla, mandible or both jaws. The procedure is performed in the hospital under general anesthesia and the patient can be discharge the same day or the day after the surgery. Once surgery is completed, your teeth and jaws will have been moved into a new, more attractive position that will provide you with better jaw functionality and excellent facial appearance. The results of orthognathic surgery are permanent.

How is the recovery process?

The pain in recovering from corrective jaw surgery is comparable to having your wisdom teeth extracted. You should expect pain, swelling, and bruising; numbness around your jaw bone for several weeks to months; sometimes elastics fitted to your jaw to keep your new bite in place as your bones heal, consuming a blended, liquid diet for two weeks before moving into softer foods like pasta and eggs for the next four to six weeks, being absent from work for a week or two and engaging in zero physical activity for three to four weeks.

Set an appointment

Ear Surgery (Otoplasty)

Otoplasty or commonly known as ear surgery or ear pinning can improve the shape, position and/for the proportion of the ear. This surgery can correct a defect in the ear structure that is present at birth or made possible by injury.

Which conditions can be corrected with an otoplasty?

Conditions:

  • Protruding ears that (unilateral or bilateral)

  • Overly large ears

  • Cauliflower ears-this happens during sports injuries mostly in wrestling and mixed martial arts.

The most common deformity is “protruded ears”. One reason for this is that a curvature found in the ear (anti-helix) may not be present, the other reason ears may protrude is that they may have a very broad bowl. If this is the case, then the bowl of the ear may be shaped to help bring back the ear to the head. Most of the time both of these procedures are combined in an otoplasty to give the ears a natural look. The surgery to correct the problem should be done in children before enrolling in primary school to avoid potential teasing and self-esteem problems. However, otoplasty can be performed safely and effectively on patients of any age.

How is the procedure done?

Incisions are hidden behind the ear, allowing access to the ear cartilage. The cartilage is then re-shaped and enforced with sutures. Occasionally, a small amount of cartilage is removed if the ear is over-developed.

The surgery takes approximately 1- 2 hours depending on the patient’s deformity. Ear surgery is performed under intravenous sedation or general anesthesia, minor deformities can be done under local anesthesia.

Otoplasty results are permanent and the procedure only has to be performed once.

After the Procedure

After the surgery, there may be little or no pain at all. You must wear a bandage for the first week after the procedure. This will keep the compression intact. We do recommend that you wear a band to sleep for the first 1 to 2 months depending on healing. Bruising and discoloration should be gone by 10 days after the surgery. You may return to work in about 1 week and physical activity after 3 to 4 weeks.

Set an appointment

Eyelid Surgery (Blepharoplasty)

The eyes are a prominent facial feature but the eyes are expressionless structures. The skin, muscle, fat, hair, and lashes all contribute to the wide array of expressions. Unfortunately, wrinkles and deep lines as well as puffiness under the lids develop as you age. In addition, exposure to the sun as well as hereditary factors contributes to the aging process, all resulting in changes of expression. In many cases, people may look fatigued, worn out, and older than their true age. Beyond possible visual impairment, these changes in your appearance can cause stress and anxiety.

Eyelid Surgery

Which patients are candidates for eyelid surgery?

Blepharoplasty is done to patients who have sagging eyelids, bags or pouches beneath the eyes, as well as excess folds around the eyes tightening the loose skin. This procedure is performed on both men and women. The reason for the surgery is to restore the eyelids to a more youthful, well-rested appearance.

Most patients can be candidates for blepharoplasty. Certain conditions can exclude a patient from being suitable for eyelid surgery. These include patients suffering from glaucoma, dry eye, detached retina and patients with some thyroid disorders

How the procedure is performed?

Blepharoplasty can be done under general anesthesia (with you asleep) or under intravenous sedation. Both are very comfortable options. Premedication is utilized prior to surgery to decrease swelling after the operation.

During the upper eyelid surgery, an incision is made along the upper eyelid crease so that the scar is not visible. In the lower eyelid surgery, the incision is made just under the lash line. The excess skin, fat and muscle are removed and small sutures are placed to close the incision. In the upper eyelid there are two fat compartments and three in the lower eyelid. The procedure takes from 1-3 hours with minimal swelling and bruising.

How is the recovery?

Swelling, ecchymosis and drying of the eyes can occur immediately after blepharoplasty. These conditions can be alleviated with the use of ice and medications. In addition, you may be sensitive to bright light and wind for a period of time. Numbness and itching may also occur during the healing process.

The patient will then returns to the office after three days after the surgery to follow-up and see how he/she is healing depending on how you are healing. The sutures will then be removed. You may return to regular activity and exercise within a week to a week and a half.

Set an appointment

Facial Fillers (Juvederm, Restylene)

Fillers are substances that are injected under the skin or lips to plump up the tissues. For the lips, fillers can provide an increase in lip size as well as enhancing the definition and to show more of the red lip. They can also plump out "lipstick lines" that develop in many female patients. For nasolabial folds (laugh lines) the filler is injected to plump the fold. Instead of being eliminated, the fold is blunted (adults would look unnatural without any smile lines).

Injectable fillers can be placed in the corners of the mouth to actually uplift the down-turned appearance which make us look older and sad, giving a more youthful and happy appearance. They can also be used to augment facial anatomy to make bigger cheeks, chin or to fill in defects and scars and the lines that are underneath the lower eyelids called the "tear troughs". This area makes patients look hollow and by injecting fillers, it plumps out the depression and improves the "dark circle" look. They can be used on most areas of the face and neck where augmentation is required.

What are the fillers made up?

Restylene, Juvederm and Perlane are injectable fillers that include hyaluronic acid, a natural complex sugar that bolsters skin elasticity, providing a smooth and supple appearance. It is biocompatible, supplementing the body's natural hyaluronic acid, which age has depleted. Other fillers like silicone and Radiesse are synthetics.

How is the procedure performed?

All patients are first treated with numbing cream on the areas to be injected, then several small dental injections of local anesthetic are given to totally numb the lips and related areas for a truly painless procedure. The filler is then injected in the lips, wrinkles or folds. The actual injection only takes minutes. Ice is placed on the lips immediately after the injections. For most patients a single syringe of filler is adequate to plump both lips. Careful attention to detail allows very natural enhancement. Just making lips bigger is not the answer and can look quite fake. For those with moderate to deep nasolabial folds (smile lines) a syringe of filler for each side is needed. The lips generally swell somewhat but most patients are able to return to work the next day. Rarely, some patients experience more significant swelling.

Occasionally a touch up may be performed at the follow up appointment. It is important to view filler injection as a sculpting process and in some cases several appointments are required to provide that special result the patient’s desire.

How long does the fillers last?

Fillers such as Restylane and Juvederm last up to 8-12 months. Radiesse has been shown to last over a year and silicone and Artefil are permanent. Fillers may not last as long in areas of increased movement such around the mouth. Different fillers will last different periods of time in different patients.

Set an appointment

Facial Implants (Cheek, Chin, Mandible)

Facial implants are synthetic materials (silicone, polyethylene) used to improve contour and give volume to some areas of the face. The main locations where a facial implant can be placed are the cheek bone, chin and angle of the mandible.

Facial implants can generally be placed using stock "off the shelf" implants. These are available in various sizes and shapes to accommodate a wide range of patients. In some cases more precision or customization is desired and the patient and or surgeon may want to customize the result. They can be placed with only local anesthesia; occasionally, general anesthesia or intravenous sedation is required.

Facial Implants cheek chin

Facial Implants cheek chin

Why should I get facial implants instead other methods for facial augmentation?

Facial implants have numerous advantages over other methods of restoring facial volume. Fillers and fat will dissolve and droop over time and cheek or midface lifting procedures will sag over time. Facial implants are fixed to the bones with tiny micro screws, so they will always remain in place and not droop. This makes them the only three dimensional method of cheek rejuvenation that is permanent and won't move. Perhaps the biggest advantage is that if the patient does not like them, they can be removed in 5 minutes! There are not many options that are both permanent and reversible.

Chin implants improve projection and contour in patients with micrognathic and retrognathic profiles. In some cases they are the only alternative to improve the lower face appearance. Especially in males a well define and projected chin is a very attractive feature of the face.


Mandibular angle implants can be used to create a more angled look in both males and females. Some patients are born with rounded posterior jaw features and mandibular angle implants can make the face more angular. Johnny Depp, Leonardo DiCaprio and Brad Pitt are commonly referenced when well defined mandibular angles are discussed.

How long will the facial implants last?

They could last decades, maybe forever. Since the implant is placed on the bone, deep beneath the skin, and usually secured with micro screws, it can't move anywhere. Unlike an injectable, fat and lifting procedures, the cheek implants become a permanent part of your facial bones.

How long is the recovery after placement of facial implants?

Recovering from a facial implant is a fast process. Outside of rare cases, most patients return to work after three to four days. Recovery depends upon the amount of swelling that occurs with individual patients as some people swell more than others. In addition, the ability to smile and pucker will be slightly different for the first week to ten days.

Set an appointment

Facial Fractures

There are a number of possible causes of facial trauma such as motor vehicle accidents, accidental falls, sports injuries, interpersonal violence, and work-related injuries. Types of facial injuries can range from injuries of teeth to extremely severe injuries of the skin and bones of the face (cheek, nose, orbit, upper and lower jaw). Injuries to the face, by their very nature, impart a high degree of emotional, as well as physical trauma to patients. The science and art of treating these injuries requires special training involving a “hands on” experience and an understanding of how the treatment provided will influence the patient’s long term function and appearance.

Facial Feature

Facial Feature

SOFT TISSUE INJURIES

When facial lacerations occur they are repaired by suturing providing the best cosmetic result possible, care is taken to inspect for and treat injuries to structures such as facial nerves, salivary glands, salivary ducts (or outflow channels of saliva) and blood vessels.

Injuries of the facial bones

Fractures of the bones of the face are treated in a manner similar to the fractures in other parts of the body. The specific form of treatment is determined by various factors, which include the location of the fracture, the severity of the fracture, the age, and general health of the patient. When an arm or a leg is fractured, a cast is often applied to stabilize the bone to allow for proper healing. Since a cast cannot be placed on the face, other means have been developed to stabilize facial fractures. One of these options involves wiring the jaws together for certain fractures of the upper and/or lower jaw.


Certain other types of fractures of the upper and lower jaws, cheek bone and frontal bone are best treated and stabilized by the surgical placement of small plates and screws at the involved site. This technique is called “rigid fixation” of a fracture. The relatively recent development and use of rigid fixation has profoundly improved the recovery period for many patients, allowing them to return to normal function more quickly. The incisions are designed to be small, placed intraorally and if it is necessary to go through the skin they are hidden to avoid visible scars.


Fractures of the nose are treated with reduction and stabilization with intranasal packing (2-3 days) and external splint (7-10 days). Fractures of multiple bones of the face are called panfacial fractures, the repair of these fractures is more difficult and several hours of surgery are needed to obtain a good result. In some cases additional procedures have to be done to reconstruct the facial structures.

Injuries to the teeth and surrounding dental structures

These types of injuries are treated by one of a number of forms of splinting (stabilizing by wiring or bonding teeth together). If a tooth is knocked out, it should be placed in salt water or milk. The sooner the tooth is re–inserted into the dental socket, the better chance it will survive.


The proper treatment of facial injuries is now the realm of specialists who are well versed in emergency care, acute treatment, long-term reconstruction, and rehabilitation of the patient.

Set an appointment

Impacted Canines

Normally, the maxillary canine (“eye tooth”) is the last of the “front” teeth to erupt into place. They usually come into place around age 11.


An impacted canine is a tooth that is prevented from growing into its normal position due to other teeth, the lack of growth of the jawbone, or simply failing to pierce through the gums. They are the second most common impacted teeth in the jaw and play an important role in your “bite”. If a canine tooth gets impacted, every effort is made to get it to erupt into its proper position in the dental arch.


A panorex screening x-ray along with a dental examination may be performed on all dental patients at around the age of 7 years to count the teeth and determine if there are problems with eruption of the adult teeth.
Early recognition of impacted canine is the key to successful treatment. The orthodontist and the oral and maxillofacial surgeon work together to get these un-erupted canines to erupt.


The oral and maxillofacial surgeon sometimes will or may need to remove any extra teeth (supernumerary teeth) or growths that are blocking eruption of any of the adult teeth. If the eruption path is cleared and the space is opened up by age 11 or 12, there is a good chance the impacted canine will erupt with nature’s help alone. If the canine is allowed to develop too much (age 13-14), the impacted canine will not erupt by itself even with the space cleared for its eruption.


Once sufficient space is created by your orthodontist, the surgeon in a simple surgical procedure performed in the office, the gum on top of the impacted tooth will be lifted up to expose the hidden tooth underneath. If there is a baby tooth present, it will be removed at the same time. Once the tooth is exposed, the oral and maxillofacial surgeon will bond an orthodontic bracket to the exposed tooth. The bracket will have a miniature gold chain attached to it.


Shortly after surgery (1-2 weeks) the patient will return to the orthodontist. A rubber band will be attached to the chain to put a light eruptive pulling force on the impacted tooth. This will begin the process of moving the tooth into its proper place in the dental arch. This is a carefully controlled, slow process that may take up to a full year to complete. Remember, the goal is to erupt the impacted tooth and not to extract it!

Set an appointment

Lip Implants

Lip fillers can be temporary or permanent. Most of the lip plumping products are temporary. The most commonly used are Restylane and Juvederm. They are very safe and look great, they produce a smooth filling without lumps or bumps. The only problem is that they don’t last forever (8 months to one year). Another temporary product is radiance, which has the consistency of toothpaste and lasts 3 to 5 years.


Other products like silicone last forever. Permanent products that are injected tend to cause more problems in the long run because your body creates a little scar tissue around it, and it can create a little bump or lump. It can be visible, painful, and it can be very annoying. Once you put something permanent into your lips, it can only be removed surgically. There’s no injection that can get rid of it.


Available implants for lip augmentation can be classified as liquid form (collagen, Restylene, Juvederm, Radiance) or sheet form (Alloderm, Dermaplant, fascia, Gore-Tex). Collagen can be extracted from cows and injected into the lips. There's a risk of allergic reaction. The results are temporary lasting four weeks to three months. Alloderm and Dermaplant are freeze-dried collagen (acelular skin dermis) obtained from deceased human donors. Its placement results in soft, natural, and pliable lips. The main disadvantage is they can be resorbed after one year.Gore-Tex is a synthetic material, it may be slightly stiff but will never shrink and always maintain its size. One disadvantage is that it may potentially push its way out of your lips.Fat can be harvested from your body and injected into your lips for augmentation. There will be some initial shrinkage during the first 3 months. Thereafter, your result will be long lasting. Swelling and bruising may last 2-3 weeks; and there is a limit to how large the lips can be made. “FulFill” lip implant is a new product that has just been approved. It’s like a little saline breast implant. It’s basically a tiny lip-shaped implant that is inserted through a hidden incision. The procedure takes about 30 minutes. The implant fills up with saline, so you can adjust it to the volume you desire. The lips can actually be tailored with the patient awake, looking in a mirror to give you the exact augmentation that you want.


Most lip fillers can be placed with local anesthesia or intravenous sedation. If a donor site is needed (fascia or fat) the patient have the choice of intravenous sedation or general anesthesia.

Set an appointment

Nose Surgery (Rhinoplasty)

Rhinoplasty or nose surgery sometimes referred to as “nose reshaping” or a “nose job” is a surgical procedure to improve the appearance and proportion of your nose, enhancing facial harmony and self-confidence. It can also correct impaired breathing caused by structural abnormalities in the nose like deviated septum.

nose surgery rhinoplasty

What abnormalities can be corrected with a rhinoplasty?

  • Nose size, in relation to the other facial structures.

  • Nose width, at the bridge.

  • Nose profile, with visible humps or depressions on the bridge.

  • Nasal tip, that is large or bulbous, drooping, or too upturned.

  • Nostrils that are large, wide or upturned

  • Nasal asymmetry and deviation.

How is the rhinoplasty performed?

Most cases need general anesthesia, simple cases can be done under intravenous sedation. The procedure usually takes an hour or two, though complicated procedures may take longer. During surgery the skin of the nose is separated from its supporting framework of bone and cartilage, which is then sculpted to the desired shape. The nature of the sculpting will depend on your problem and your surgeon's preferred technique. Finally, the skin is re-draped over the new framework.


Surgery can be performed from within the nose (close rhinoplasty), making their incision inside the nostrils. In more complicated cases the surgeon needs to do an open procedure by making a small incision across the columella (the vertical strip of tissue separating the nostrils).


When the surgery is complete, a splint will be applied to help your nose maintain its new shape. Nasal packs or soft plastic splints also may be placed in your nostrils to stabilize the septum (the dividing wall between the air passages).

How is the recovery after a rhinoplasty?

During the first twenty four hours your face will feel puffy, your nose may ache. You can control any discomfort with the pain medication prescribed by your surgeon. Swelling and bruising around the eyes will reach a peak on days two and three. Applying cold compresses will reduce this swelling and make you feel a bit better.


A little bleeding is common during the first two days following surgery. If a nasal packing is placed, it will be removed after a two-three days. By the end of one or, occasionally, two weeks, all dressings, splints, and stitches should be removed.

Set an appointment

Oral Pathology

The inside of the mouth is normally lined with a special type of skin (mucosa) that is smooth and coral pink in color. Any alteration in this appearance could be a warning sign for a pathological process. The most serious of these is oral cancer. The following can be signs at the beginning of a pathologic process or cancerous growth:

  • Reddish patches (erythroplakia) or whitish patches (leukoplakia) in the mouth

  • A sore that fails to heal and bleeds easily

  • A lump or thickening on the skin lining the inside of the mouth

  • Difficulty in chewing or swallowing

  • Expansion of the bone of the upper and/or lower jaw (may be indicative of a cyst or tumor)

Oral Pathology

Oral Pathology

These changes can be detected on the lips, cheeks, palate, gum tissue around the teeth, tongue, face and/or neck. Pain does not always occur with pathology, and curiously, is not often associated with oral cancer. However, any patient with facial and/or oral pain without an obvious cause or reason may also be at risk for oral cancer.


We would recommend performing oral cancer self-examination monthly and remember that your mouth is one of your body's most important warning systems. Do not ignore suspicious lumps or sores.


Pathologic changes in the mouth can occur in the form of benign and malignant lesions of the mucosa, the bone (cysts and tumors) and salivary glands. Manifestations of systemic diseases affect the mouth and can be one of the first signs to appear, therefore a key point to diagnose problems in other tissues. The treatment for oral lesions depends on the cause. Treatment for oral lesions may include non surgical options like antibiotics, antiviral medications, antiseptic mouthwash, anti-inflammatory and pain medications. Additional treatment may include surgery to remove an oral lesion. 


A biopsy should be done for any suspicious premalignant or malignant lesion. A small piece of tissue is taken from the affected area and sent to the pathology lab. A diagnosis is obtained in 3-7 days. Then the oral and maxillofacial surgeon can perform the definitive surgery. Usually this is done in an office setting under intravenous sedation.  For the treatment of very aggressive benign lesions or malignant tumors patients need to be taken to the operating room and be treated under general anesthesia.
Surgery still remains as the main stay treatment for most of the oral lesions including oral cancer

Set an appointment

Reconstructive Facial Surgery

Facial reconstructive surgery is done to treat patients with facial deformities after facial trauma; patients that had parts of the jaws and face removed after tumor treatment and birth defects resulting in a cleft lip and palate and craniofacial anomalies. Since the face is often the most obvious bodily aspect during interactions, having deformities can cause psychological and emotional difficulties for a person. The ability to alter these deformities through facial reconstructive surgery has allowed a high number of children and adults to feel confident about their appearance. Reconstructive surgery differs from cosmetic surgery because it alters the appearance of abnormal facial structures opposed to enhancing already normal ones.

Reconstructive Facial Surgery

Reconstructive Facial Surgery

Reconstructive Jaw Surgery

Reconstructive jaw surgery is performed by Oral and Maxillofacial Surgeons to correct minor and major skeletal and dental irregularities including misalignment of the jaws, face and teeth, which, in turn, can improve chewing, speaking and breathing. In other cases a part of the upper or lower jaw may be missing after tumor removal; this is replaced with the use of bone grafts that can be obtained from the patient (hip, leg); from a deceased donor; or using newest techniques using growth factors like stem cell and platelet rich plasma and/or bone morphogenetic protein.

Reconstructive Surgery for Cleft Lip and Palate

A cleft lip and palate hurts one’s aesthetics and is detrimental to the baby’s health, as the palate is necessary for sucking and learning how to speak properly. A cleft palate has a hole in the roof of the mouth that communicates with the nose. If a child has a cleft lip, treatment is performed starting as early as the age of 3 months. In the cases of a cleft palate, the surgery is performed between 7 and 18 months. When these patients reach the adult life they still have multiple deformities like hypoplasia of the maxilla (backward position of the upper jaw), asymmetry of the nose and lip and/or malocclusions. They need to be corrected with orthognathic surgery, plasty of the upper lip, rhinoplasty (nose surgery), and/or orthodontic treatment.

Reconstructive Surgery after Skin Cancer Removal

Cancer of the skin of the face, nose, lips and ears is usually caused by sun exposure and frequently require wide excision of the involved tissue and in some cases the entire organ has to be removed. Like with most reconstructive surgery, the goal of lip reconstruction is to reestablish the appearance and function. In some cases is necessary to use neighbor (local flaps) or distant tissues (bone, cartilage) to reconstruct this organs and multiple surgeries to get a good result. The knowledge and experience of your maxillofacial surgeon is crucial to achieve a good result.

Set an appointment

Skin Surgery (Mole and Cancer Removal)

Most of the population has moles, warts, pigmented spots and other lesions on their head, face and neck. Moles can be present at birth or appear later in life as a result of sun exposure or hereditary factors. Most of these growths are benign; however, some lesions may be pre malignant or malignant. Most types of skin cancers can look like common moles. Basal cell carcinoma is a cancerous mole that classically does not spread to distant parts of the body, but in some areas of the face can spread to deeper structures and require extremely disfiguring surgeries to be removed. Moles that are basal cell carcinoma can have a pearly appearance and can also have spider veins associated with the mole. Squamos cell carcinoma is a more aggressive lesion that usually presents as an ulcer with ability to spread to distant organs. One of the most dangerous cancer in humans is melanoma, this pigmented lesion needs only couple of millimeters (depth of invasion) to develop metastasis; if is not diagnosed early, its effects can be catastrophic.

Skin Surgery (Mole and Cancer Removal)

Skin Surgery (Mole and Cancer Removal)

What are signs of alarm of a skin lesion?

Asymmetry, irregular borders, irregular distribution of the pigment and diameter larger than a size of a pencil eraser (6mm).

How skin lesions can be treated?

Small lesions can be treated with liquid nitrogen, laser, radio-wave, cauterization and conventional surgery.


Large lesions oftentimes have to be biopsied to know the diagnosis before definitive excision. A skin biopsy is the removal of a piece of skin for the purpose of further examination in the laboratory using a microscope. There are several ways to biopsy the skin. A shave biopsy is a procedure in which the doctor takes a thin slave off the top of the skin, punch biopsy takes a small fragment of tissue from the area of interest, incisional biopsy takes a piece of the lesion using the scalpel blade and lastly there is the excisional biopsy which is used to completely remove the abnormal area of skin.


In the oral cavity the most common types are: punch, incisional and excisional biopsies. The inside of the mouth is lined with a special type of skin called mucosa that is smooth and pink in color. Any other color or alteration in this appearance should be a slight warning for pathological process. There are several ways to detect suspicious lesions: reddish or whitish patches in the mouth, a sore that does not heal and bleeds easily, a lump or thickening. These changes can be seen on the lips, gum, and tongue, floor of the mouth, cheeks and palate.


Local anesthesia and intravenous sedation are used in most cases, large cancer surgeries have to be done under general anesthesia.

Set an appointment

Sleep Apnea

People suffering from snoring and sleep apnea contend with disrupted sleep every night, resulting from irregular breathing and low blood oxygen levels. It’s a serious disease that occurs when the tongue is sucked against the back of the throat, obstructing airflow in the upper airway. The brain’s oxygen level steadily decreases until the sleeper awakens, usually with a gasp, and clears the breathing impediment. Repeated cycles of decreased oxygenation lead to very serious cardiovascular problems.

Sleep Apnea

Sleep Apnea

What are the symptoms of sleep apnea?

  • Breathing interruptions during sleep

  • Loud snoring

  • Sudden awakenings, followed by a shortness of breath

  • Difficulty remaining asleep

  • Chronic, morning headaches

  • Frequent and superfluous daytime drowsiness

The diagnosis of sleep apnea is made based in the signs and symptoms and other studies. With cephalometric (skull x-ray) analysis, the oral and maxillofacial surgeon can ascertain the level of obstruction. Sometimes a naso-pharyngeal exam is done with a flexible fiber-optic camera. To confirm the amount of cardiovascular compromise and decreased oxygenation levels, a sleep study may be recommended to monitor individuals overnight.

What are the types of sleep apnea?

Obstructive sleep apnea: The most common form of sleep apnea that occurs when throat muscles relax, restricting airflow to the brain. Once sensed, the brain forces you awake in order to open your airflow.


Central sleep apnea: This happens when the brain fails to transmit signals to the muscles that regulate breathing. Unlike obstructive sleep apnea, the sleeper suffering from central sleep apnea typically remembers their inability to stay asleep.


Complex sleep apnea: A combination of obstructive and central sleep apnea.

How is the treatment of sleep apnea performed?

An initial treatment may consist of using a nasal CPAP machine that delivers pressurized oxygen through a nasal mask to limit obstruction at night. One of the surgical options is a uvulopalatopharyngoplasty (UPPP), which is performed in the back of the soft palate and throat. A similar procedure is sometimes done with the assistance of a laser and is called a laser assisted uvulopalatoplasty (LAUP). Nasal septum surgery and/or turbinectomy can also be done. All these procedures are usually performed under light intravenous sedation in the office. In more complex cases, the bones of the upper and lower jaw may be repositioned to increase the size of the airway (Orthognathic Surgery). This procedure is done under general anesthesia and requires 1 to 2 days overnight stay in the hospital.

Set an appointment

Temporomandibular Joint Disorders (TJD)

If you suffer from pain in your jaw during routine facial movements, such as smiling, chewing and speaking, it’s possible that you’re one of 40 million Americans suffering from temporomandibular joint disorder.


Commonly referred to as TMD, temporomandibular joint disorder is the displacement of your temporomandibular joint, the ball-and-socket joint that connects your lower jaw and skull. Since the temporomandibular joint affects even the most basic jaw movements, proper functionality is essential to your health and well-being.

What are the signs and symptoms of temporomandibular joint disorder?

If you’ve suffered from chronic migraines, earaches and/or neck pain, it’s possible that the root of your pain lies within a misaligned jaw. Other common symptoms are:

  • Difficulty sleeping

  • Painful and loose teeth

  • Frequent jaw clicking, locking, or popping

  • Pain behind your ears

  • Morning headaches

  • Constant ringing in your ears

What are the causes of temporomandibular joint disorder?

  • Head trauma from a heavy contact sport or another source

  • Car accident that caused you whiplash

  • Clenching/grinding of your teeth (bruxism)

  • Misaligned teeth

  • Parafunctional habits

If your dentist suspects that you’re suffering from a displaced temporomandibular joint, you will have your bite evaluated through a molding and x-rays. This will demonstrate how your jaw and bite interact with each other.

How is the treatment performed?

While some dentists will provide a treatment plan of tooth modifications and/or orthodontics, coupled with at-home remedies like changing your dietary habits and limiting your jaw movement, all this does is reduce your pain. For some, this may be enough. However, for severe cases where splint appliance and other modifications were unsuccessful, the oral surgeon uses surgical solutions including: bite adjustment, arthroscopy, open joint repair restructuring and corrective jaw surgery (orthognathic surgery). Physical therapy is another effective modality of treatment.

Set an appointment